Are you new to chiropractic, or are you interested to know how exactly chiropractors treat headaches? This short post will explain what we do at Favero Chiropractic in North Ogden to help relieve headaches and reduce your pains.
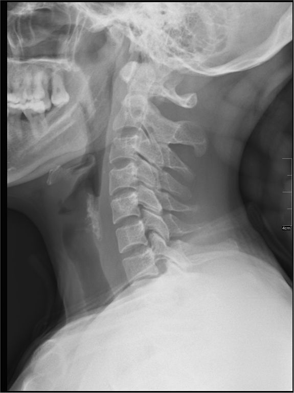
Headaches can come from many causes, and one common problem is our posture. We do so many things in front of us and down – using the computer, phones, driving, etc. The normal C-shaped curve in the neck (called cervical lordosis) slowly decreases and can even start to curve in the opposite direction!


Is it any wonder your neck and upper back have so many aches and pains? That tightness creates a tension higher up that can push on important nerves. When the nerves get irritated you feel that pressure in the back of your head and sometimes in the temples, forehead, and behind the eyes.

Our spinal expert, Dr. Jeff Favero, will perform a thorough examination to test your head and spine and determine the most likely cause of your pains. Then he will explain his findings and the recommended course of treatment to bring you back to feeling normal again. With years of chiropractic experience, he will find the joints and muscles that are damaged from poor posture or other injuries and use his hands to bring them into proper alignment. He also massages, stretches, and applies other therapies on the muscles to restore their function and help the body heal.
At Favero Chiropractic we want to help you get better long term. Our treatment along with recommendations for home care provides you with the resources to be healthy and well. Connect with us today!